NOA-IA 

Not all hyperpigmented areas are the same and even fewer behave in the same way.
There are many types of spots and they appear for many reasons, exposure to the sun, with the passage of time, hormonal changes and we even have them from birth. 
At New Optical Applications, we are developing a convolutional neural network (CNN) that enables the automatic identification of different types of spots. To do this, we use the semantic segmentation classifier (CSNet).

NOA3D with Multispectral Imaging provides the possibility of having simultaneous three-dimensional and photometric information from four spectral bands ranging from 400 nm to 900 nm (Band-1 [400-500], Band-2 [500-590], Band-3 [590-680], Band-4 [680-900]), in addition to RGB colour information with the composition of the previous spectral bands.

NOA3D with Multispectral Imaging allows us to assign relief to a 2D image or to assign spectral information to a 3D reconstruction. In this way we have at our disposal the possibility of selecting by ‘colour’ the presence of melanin and/or haemoglobin for subsequent quantification in the three-dimensional space or performing a topographical analysis of the object's surface to discriminate concave and convex regions for subsequent photometric quantification.

NOA3D with Thermal ImagingThe simultaneous availability of three-dimensional and thermal information of an object makes it possible to generate 4D information (x,y,z,Cº) that is of great interest for many applications.

 

The thermal image allows us to visualize more clearly those regions where there is a greater blood supply. In this way, and by means of an analysis of the thermal image itself, we can extract and select these regions for their dimensional analysis on the 3D information.

 

3D information allows us to perform topographic analysis of the object's surface. We can evaluate the surface based on its curvature and discriminate concave and convex regions. In this way we can extract and select different regions according to their topography and perform a selective thermal analysis.

NOA3D is a scanner designed to scan objects very fast and precisely for usage in the field of medicine and skin care.

  • 3D characterization of morphological changes
  • 3D topography analysis with curvature and scale control
  • 3D dimensional analysis

Curvature is the value describing the relief of a point as a function of its neighbourhood (scale).

  • Fine scale suitable for removing fine lines or wrinkles
  • Medium scale suitable for removing folds, acne or scars
  • Coarse scale suitable for extracting cellulite or sagging

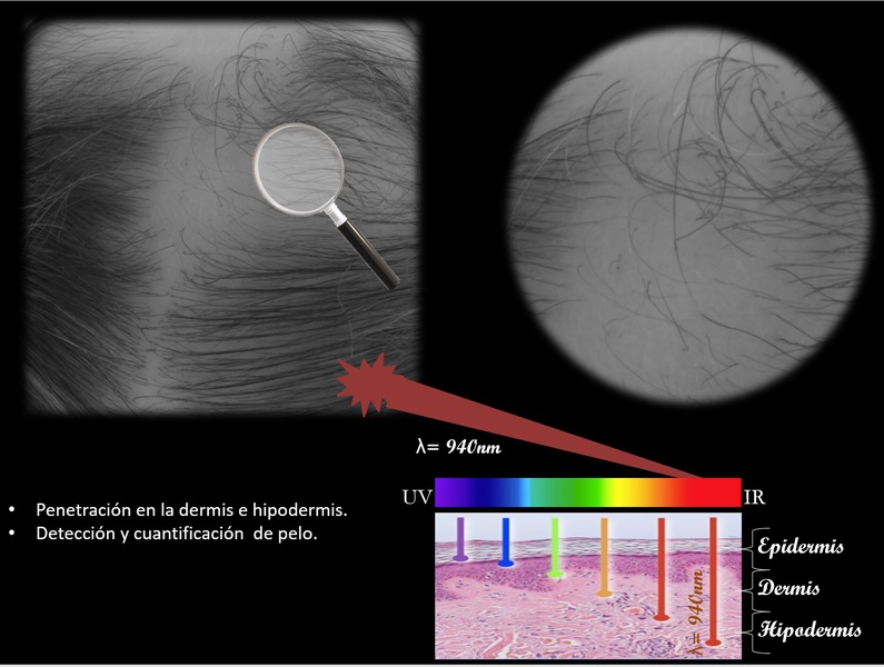
NOA2D. The ability of light to penetrate the skin depends on the wavelength of the incident light emission. Longer wavelengths penetrate deeper than shorter wavelengths. Thus, violet light has very low penetration while IR light has higher penetration.

NOA Thermal Imaging

New Optical Applications
Plaza Doctor Landete 9-2
46006 Valencia
Teléfono: +34 650/427769 +34 650/427769
Fax:
Dirección de correo electrónico: